La nécrose avasculaire de la tête fémorale est une affection orthopédique courante, principalement chez les chiens de petite taille. Elle est aussi connue sous les noms de nécrose aseptique de la tête fémorale, ostéochondrite juvénile ou encore maladie de Legg-Calvé-Perthes. Peu importe le terme, la douleur reste présente et nécessite une intervention rapide.
Signes cliniques
La nécrose avasculaire de la tête fémorale survient généralement chez les chiens de petite taille, notamment les races « toy » et les terriers. Elle touche souvent les animaux de moins de 1 an. Les signes incluent une douleur aiguë ou chronique à un membre postérieur. Le chien peut présenter une boiterie intermittente, une réticence à courir, à sauter ou à monter les escaliers. Dans les cas graves, il peut même refuser de poser son poids sur la patte affectée.
Diagnostic de la nécrose avasculaire de la tête fémorale
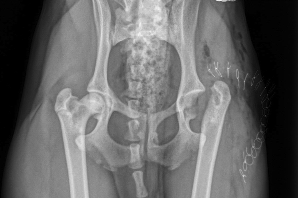
Le vétérinaire commencera par des palpations pour identifier la source de la douleur. Il vérifiera également l’atrophie musculaire, un signe de mauvaise utilisation de la patte. Selon l’examen, des radiographies seront nécessaires pour évaluer les articulations et les os. Les résultats seront connus en 15 à 20 minutes. Les radiographies montrent des signes typiques comme une déformation du col et de la tête fémorale, ainsi que des changements d’opacité et, parfois, une fracture. Le diagnostic repose sur l’examen clinique, les radiographies et l’âge du chien.
Causes et origine de la nécrose avasculaire de la tête fémorale
La cause exacte reste floue, mais une prédisposition génétique est fortement suspectée. Le problème commence par une interruption du flux sanguin vers la tête et le col fémoral. Cette interruption provoque la nécrose de la région, entraînant des changements dégénératifs qui causent de la douleur.

Traitement : Quel recours pour votre chien ?
Bien que des anti-inflammatoires puissent soulager temporairement votre chien, la solution définitive est chirurgicale. L’intervention consiste à retirer la tête et le col fémoral, la chirurgie se nomme arthroplastie. Ainsi, l’articulation se transforme en « pseudo-articulation », où les muscles de la hanche compensent la perte osseuse. La chirurgie peut être réalisée directement à l’hôpital ou, si vous le souhaitez, chez un chirurgien orthopédiste vétérinaire dans un centre spécialisé.

Après l’opération, des antibiotiques et des anti-inflammatoires seront prescrits. De plus, un protocole de physiothérapie sera mis en place pour aider à la récupération. La guérison complète dure généralement de 3 à 6 mois, avec plusieurs suivis nécessaires.