Qu’est-ce qu’une fracture du col fémoral?
Votre animal a subi une fracture du col fémoral, c’est-à-dire une fracture de l’os de la cuisse à l’endroit où il s’articule avec le bassin. Malheureusement, un plâtre ne peut pas être utilisé pour stabiliser cette fracture, car il est impossible d’immobiliser la hanche. Par conséquent, une intervention chirurgicale a été nécessaire afin de retirer la partie du fémur encore attachée à l’articulation.

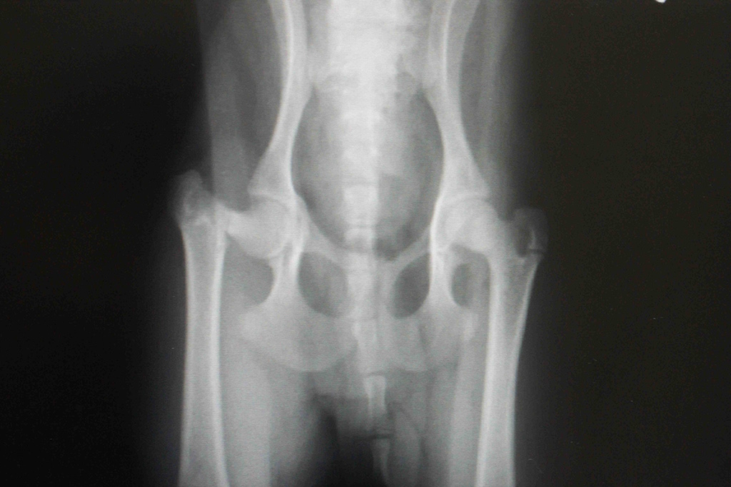
Quel est le pronostic?
Après l’opération, une image post-opératoire montre que la tête du fémur a été retirée. Heureusement, cette chirurgie offre un excellent pronostic, en particulier pour les petits animaux. En effet, ce sont les muscles entourant l’articulation de la hanche qui vont assurer la stabilité du site de fracture et permettre à votre compagnon de retrouver une démarche normale. Plus il utilisera rapidement sa patte, plus ses muscles se renforceront et plus vite la boiterie disparaîtra. En moyenne, il faut environ un mois pour que la guérison soit complète.
Comment favoriser une récupération optimale?
Pour que votre animal se rétablisse dans les meilleures conditions, voici quelques recommandations essentielles :
Utilisation du collier élisabéthain
Gardez le collier en place jusqu’au retrait des points de suture ou des agrafes, soit environ 14 jours. Pendant cette période, assurez-vous que la plaie reste propre et sèche. Évitez les bains et les baignades et surveillez tout signe de rougeur, d’enflure ou d’écoulements.
Gestion de la douleur et de l’inflammation
Votre animal a reçu un anti-inflammatoire afin de réduire la douleur et l’enflure. Il est donc essentiel de respecter la posologie recommandée par votre vétérinaire.
Prévention des infections
Un antibiotique a été prescrit pour éviter toute infection au niveau du site chirurgical. Ainsi, il est important de l’administrer en respectant scrupuleusement la prescription.
Contrôle du poids
Il est primordial de veiller au poids de votre animal. Un excès de poids pourrait ralentir la guérison en exerçant une pression supplémentaire sur ses articulations. Par conséquent, si votre animal présente un surpoids, nous pourrons lui proposer une alimentation adaptée.
Surveillance du transit intestinal
Il est normal que votre animal ne fasse pas de selles pendant quelques jours après l’opération en raison de l’anesthésie. Cependant, si votre compagnon semble forcer ou si plusieurs jours passent sans défécation, contactez-nous rapidement.
Physiothérapie et rééducation
Afin d’encourager le développement musculaire, des exercices de physiothérapie sont recommandés après une période de repos d’environ 10 jours. Vous pouvez donc effectuer des séries d’extensions et de flexions de la hanche 2 à 3 fois par jour pour accélérer la récupération.
Importance du suivi vétérinaire
Un rendez-vous de contrôle est nécessaire à la date indiquée lors de la sortie de la clinique. Cette consultation permettra de vérifier la progression de la guérison et d’ajuster les soins si besoin.
Si vous avez la moindre question ou la moindre inquiétude concernant la récupération de votre animal, n’hésitez pas à nous contacter!
Bonne récupération à votre compagnon !